Weisheitszahnentfernung zurückweiter

Warum müssen Weisheitszähne entfernt werden?

Da die Menschen entwicklungsgeschichtlich immer größer, die Kiefer aber eher kleiner werden, haben die Weisheitszähne nicht genügend Platz, sich richtig einzustellen. Werden die Weisheitszähne nicht entfernt, besteht die Gefahr von Entzündungen, wenn die Zähne nur teilweise in die Mundhöhle durchbrechen. Oder die bleibenden Zähne können sich verschieben. Das sieht erstens nicht gut aus und zweitens können die Zähne dann schlechter geputzt werden.

Wann müssen Weisheitszähne entfernt werden?

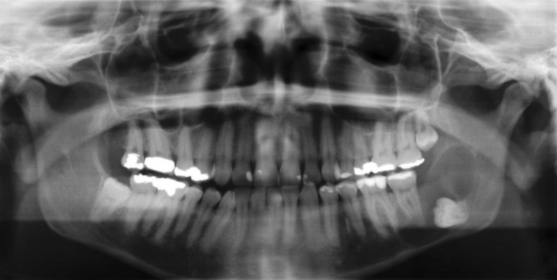
Liegt ein Platzmangel im Bereich der Weisheitszähne vor und kommt es dadurch zu einer ,,Durchbruchsstörung`` sollten die Weisheitsähne zur Vermeidung von Komplikationen entfernt werden. Weil ein Teildurchbruch es fast unmöglich macht, den Zahn richtig zu putzen, kommt es häufig zu Zahnfleischentzündungen oder gar zu Karies am Weisheitszahn selbst oder am Zahn davor. Zusätzlich üben diese Zähne Druck auf die Davorstehenden aus, die dadurch verschoben werden können. Eine weitere Komplikation verlagerter Weisheitszähne ist die Ausbildung von Zysten, die durch Auflösung des Knochens eine beachtliche Größe erreichen können.

Es ist daher sinnvoll mit dem Hauszahnarzt oder dem Kieferorthopäden zwischen dem 13. und 18. Lebensjahr über die Notwendigkeit der Weisheitszahnentfernung zu sprechen.

Der Eingriff erfolgt üblicherweise ambulant in örtlicher Betäubung; wenn es erforderlich ist, kann der Eingriff auch im Dämmerschlaf (Sedierung) oder mit unserem Anästhesisten in Vollnarkose erfolgen.

Weisheitszahnentfernung
verlagerter Weisheitszahn
verlagerter Weisheitszahn
Weisheitszahn mit großer Zyste
extrem verlagerter Weisheitszahn mit großer Zyste
Verlauf der Unterkiefernerven
weit verlagerter Weisheitszahn